Les, my late husband, had been having headaches that just wouldn’t go away. That was very unusual considering I rarely saw him sick with so much as a cold. But then one day while at school, he lost feeling in his legs and had to be carried to his car. I don’t remember if someone drove him to Urgent Care or not. Anywho, we were told that we needed to go to the E.R. of a hospital instead.
Once at the E.R., they ran the usual C scan, etc. I remember saying to the doctor after hearing the results – “You’re joking right?. The doctor stated he saw there was “something” on the C scan and that an ambulance would be transferring him to another hospital. I remember the lights flashing from the ambulance as I sped behind it. It’s so funny ’cause after we reached the hospital, Les said that one of the paramedics asked if he owned a black truck to which he replied – yes. The paramedic then replied – ” I think that’s your wife behind us” and they all bust out laughing.
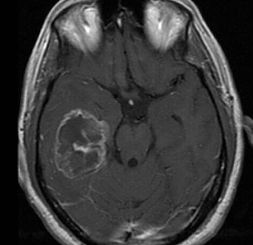
The following morning after running more tests, it was confirmed that he had brain cancer. Glioblastoma Multiforme Grade 4 to be exact. The circle to the left is the tumor.
Over the course of those 2 1/2 years that he was alive, he managed to graduate from college – a long time dream, with a B.S. in Electrical Engineering, despite being sick and undergoing chemo treatments. He managed to secure a job on base in his field but that was short lived as he started going blind. As devastating as all of this was, he and I managed to enjoy life as much as we could. It wasn’t easy, especially with me being his sole caregiver but we got through it.
In the early morning hours on November 14, 2008, in the home we shared, Les went Home to be with our Lord.
I blogged about our journey at: Loving Someone With Brain Cancer
After holding onto his ashes for 7 years, I finally laid him to rest in 2015.
This is a video I put together….



